Von der Krone bis zur Vollprothese
Eine gute Ästhetik ist mehr als eine modische Erscheinung. Sie beeinflusst unser Wohlbefinden und ist auch ein "Erfolgsfaktor". Menschen mit einem schönen Lächeln wirken sympatischer und haben rundherum eine bessere Austrahlung.
Wir können Ihnen viele Wege zur Verbesserung aufzeigen. Schon die regelmäßige professionelle Zahnreinigung leistet Ihren Beitrag.
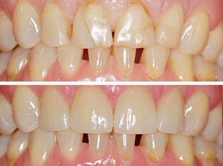
Mit verschiedenen Formen bzw. Techniken des Bleachings hellen Sie Ihre Zähne auf. Veneers sind dünne Keramik-schalen, die vor allem auf den Frontzähnen mit einer speziellen Klebetechnik auf die Zahnoberfläche aufgebracht werden. Statt Gold bei Kronen oder Inlays können zahnfarbene Materialien, wie z.B. dentale Kunststoffe und Keramiken, eine Alternative darstellen. Mit Implantaten lassen sich auch komplexe Sanierungen ästhetisch perfekt gestalten.
Fragen Sie uns, wir beraten Sie gerne
Wir können Ihnen viele Wege zur Verbesserung aufzeigen. Schon die regelmäßige professionelle Zahnreinigung leistet Ihren Beitrag.
Mit verschiedenen Formen bzw. Techniken des Bleachings hellen Sie Ihre Zähne auf. Veneers sind dünne Keramik-schalen, die vor allem auf den Frontzähnen mit einer speziellen Klebetechnik auf die Zahnoberfläche aufgebracht werden. Statt Gold bei Kronen oder Inlays können zahnfarbene Materialien, wie z.B. dentale Kunststoffe und Keramiken, eine Alternative darstellen. Mit Implantaten lassen sich auch komplexe Sanierungen ästhetisch perfekt gestalten.
Fragen Sie uns, wir beraten Sie gerne




